Call Now!: (804) 575-5865
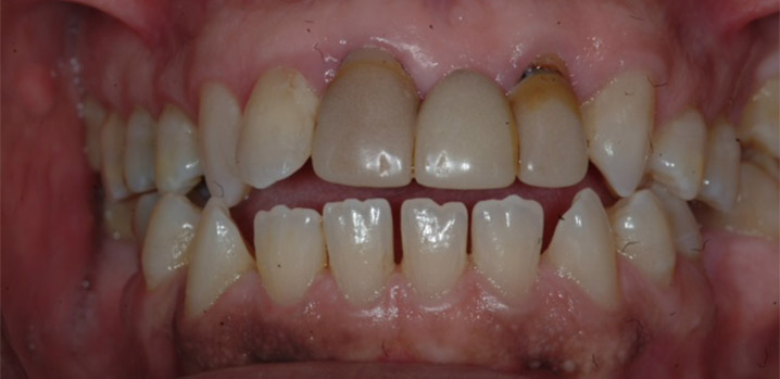
Stained Fillings
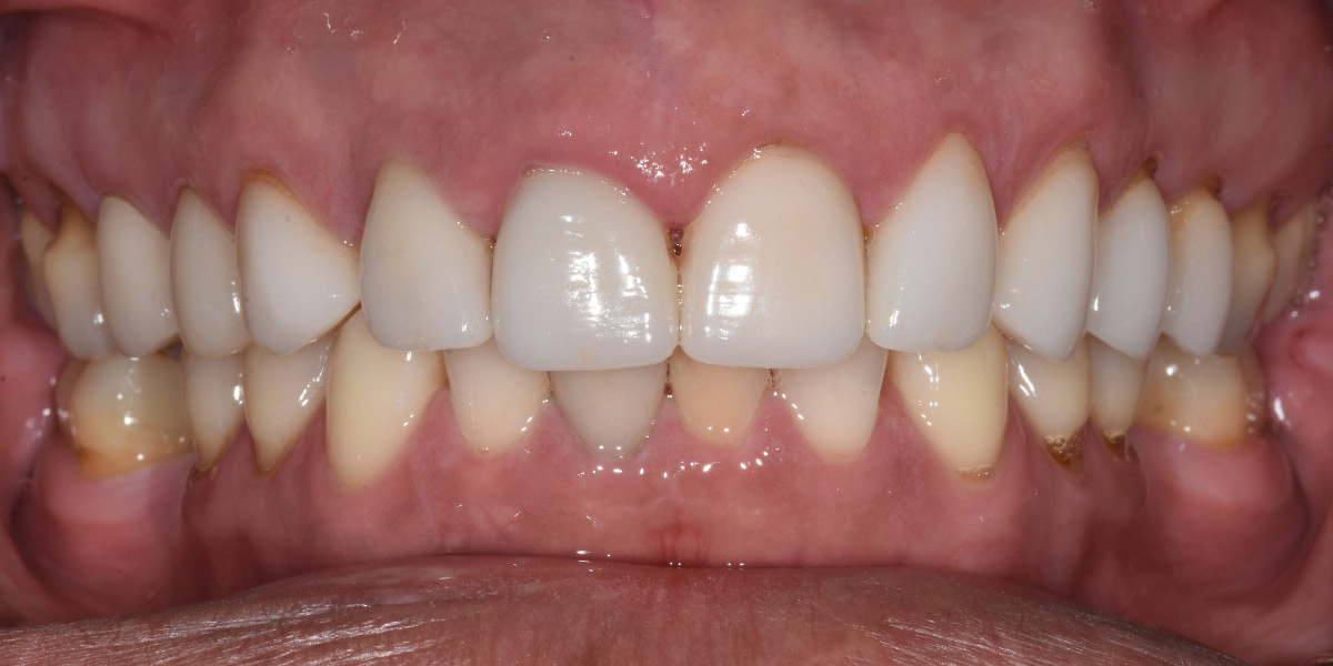
New Smile
Implant Retained Hybrid Dentures
Full Mouth Reconstruction
Complete the form below and a member of our team will contact you at a more convenient time.
Learn more about our doctors.
Learn more about Dental Implants.
Read about how to correct your smile with the clear solution